
フィルテック™シュープリーム ウルトラ フロー コンポジットレジンのチキソトロピー特性を活用した楔状欠損の修復方法
『3Mフィルテック™ スペシャルインフォーメーション』 掲載
2007年に超高齢化社会(65歳以上の高齢者の占める割合が全人口の21%以上)となった日本において、歯肉退縮によるセメント質露出を原因とする楔状欠損に遭遇する機会が増えていることは、多くの先生が実感されていることと思う。楔状欠損への修復はフロアブルコンポジットレジンを用いて行うことが主流となっているが、各社より発売されている製品は症例によって使い分けられるようフローの異なるものがラインアップされていることが多い。
3Mのフロアブルコンポジットレジン、フィルテック™シュープリーム ウルトラ フロー コンポジットレジンは、独特のチキソトロピー(注)を有することにより、ローフロー、ミディアムフローの用途に使用することが可能である。この特徴を活用した楔状欠損の修復方法をここでは紹介したい。
歯肉退縮を伴う楔状欠損は修復面積が大きいため、通常フロアブルコンポジットレジンを使用 し、1回で築盛しようとした場合その流動性によって垂れてしまい、形態を整えることが難しい。
このような場合は2回法をお勧めする。
1回目の築盛において欠損部の凹凸を平面化することにより、2回目の築盛や整形を容易にする。
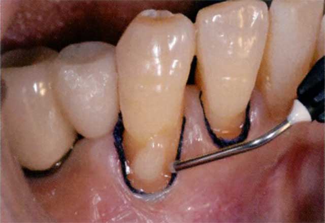
まず1回目だが、凹凸の面に対し、デッドスペースを作らない為にミディアムフロー状が望ましい。フィルテック™シュープリーム ウルトラ フロー コンポジットレジンを歯面に塗布した直後は垂れないが、探針で軽く撹拌すると流動性が増してくるので修復部を覆うように広げていく。1秒間光照射し、仮重合をしておくと形態が 維持できる。(図a)
2回目は最終形態をイメージして築盛を行う。築盛後、全体を撹拌するのではなく表面を探針でなぞるようにすると表面のみ流動性が増し、歯面と移行的になる。中心はローフロー状のため、形態を維持してくれる。この手法だと後に形態修正をする必要が殆ど無い。(図b)
また、歯肉マージン部のオーバーフィリングは絶対に避けなければならない。歯肉溝保護のため圧排コードは必ず使用する。研磨はソフレックス™XT 研磨ディスク M(中荒)にて表面を平滑化した後、ソフレックス™スパイラル研磨ホイール F(細)、SF(極細)で仕上げることで光沢が得られる。審美的回復を希望している患者さんは実際より明るめの色を好むことがある。本症例も最初A4を薦めたが本人の希望によりA3とした。
このようにフィルテック™シュープリーム ウルトラ フロー コンポジットレジンはその仕上がりの美しさと治療時間の短縮や患者の負担軽減にも有効である。
(注)チキソトロピーとは、かき混ぜることによって粘度が低下する性質。
       フィルテック™シュープリーム ウルトラ フロー コンポジットレジンはこの性質により、1本でミディアムフロー、ローフロー双方の使い分けが可能で、歯質に適合しやすく、垂れにくいという操作性の高さを有する。
症例 ※タップすると写真を表示します
専門医の当院にご相談ください。
 院長 高橋デンタルオフィス(歯周病専門医・指導医)
 院長 高橋デンタルオフィス(歯周病専門医・指導医)